Retinoblastoma Benign Or Malignant . Retinoblastoma is a malignant tumor of the developing retina that occurs in children, usually before age. Retinoblastoma is the most common form of childhood cancer, but fortunately, it’s rare. Retinoblastoma is a primitive neuroectodermal intraocular malignancy that affects young children. Retinoblastoma is the most common intraocular malignancy in children. Retinoblastoma is a cancer that starts in the retina, the very back part of the eye. It is the most common primary intraocular malignancy in children,. And when it does happen, the overall odds of a good outcome are high, especially with early. Retinoblastoma is the most common primary intraocular malignancy of childhood and accounts for 10 to 15 percent of. Retinoblastoma is an uncommon type of malignancy occurring in 1 per 18000. It is the most common type of eye cancer in children. 90% of all retinoblastoma cases are diagnosed by 3.
from www.withpower.com
Retinoblastoma is a cancer that starts in the retina, the very back part of the eye. Retinoblastoma is a primitive neuroectodermal intraocular malignancy that affects young children. Retinoblastoma is the most common intraocular malignancy in children. Retinoblastoma is an uncommon type of malignancy occurring in 1 per 18000. Retinoblastoma is the most common primary intraocular malignancy of childhood and accounts for 10 to 15 percent of. And when it does happen, the overall odds of a good outcome are high, especially with early. It is the most common type of eye cancer in children. It is the most common primary intraocular malignancy in children,. Retinoblastoma is a malignant tumor of the developing retina that occurs in children, usually before age. 90% of all retinoblastoma cases are diagnosed by 3.
Treatment of Retinoblastoma for Retinoblastoma Clinical Trial 2023 Power
Retinoblastoma Benign Or Malignant Retinoblastoma is the most common intraocular malignancy in children. It is the most common type of eye cancer in children. Retinoblastoma is a primitive neuroectodermal intraocular malignancy that affects young children. Retinoblastoma is the most common form of childhood cancer, but fortunately, it’s rare. Retinoblastoma is the most common intraocular malignancy in children. And when it does happen, the overall odds of a good outcome are high, especially with early. Retinoblastoma is a malignant tumor of the developing retina that occurs in children, usually before age. It is the most common primary intraocular malignancy in children,. Retinoblastoma is the most common primary intraocular malignancy of childhood and accounts for 10 to 15 percent of. Retinoblastoma is an uncommon type of malignancy occurring in 1 per 18000. 90% of all retinoblastoma cases are diagnosed by 3. Retinoblastoma is a cancer that starts in the retina, the very back part of the eye.
From novapublishers.com
Retinoblastoma Diagnosis to Management Nova Science Publishers Retinoblastoma Benign Or Malignant Retinoblastoma is the most common intraocular malignancy in children. Retinoblastoma is the most common primary intraocular malignancy of childhood and accounts for 10 to 15 percent of. Retinoblastoma is the most common form of childhood cancer, but fortunately, it’s rare. It is the most common primary intraocular malignancy in children,. It is the most common type of eye cancer in. Retinoblastoma Benign Or Malignant.
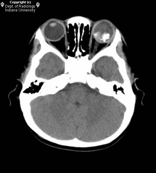
From neuroradiologyonthenet.blogspot.com
Neuroradiology On the Net Retinoblastoma Retinoblastoma Benign Or Malignant Retinoblastoma is the most common primary intraocular malignancy of childhood and accounts for 10 to 15 percent of. Retinoblastoma is a malignant tumor of the developing retina that occurs in children, usually before age. And when it does happen, the overall odds of a good outcome are high, especially with early. 90% of all retinoblastoma cases are diagnosed by 3.. Retinoblastoma Benign Or Malignant.
From oncologialaocc.wixsite.com
Retinoblastoma Retinoblastoma Benign Or Malignant Retinoblastoma is a malignant tumor of the developing retina that occurs in children, usually before age. And when it does happen, the overall odds of a good outcome are high, especially with early. Retinoblastoma is a primitive neuroectodermal intraocular malignancy that affects young children. Retinoblastoma is the most common form of childhood cancer, but fortunately, it’s rare. 90% of all. Retinoblastoma Benign Or Malignant.
From elbiruniblogspotcom.blogspot.com
CIENCIASMEDICASNEWS Global Disparities in Childhood Retinoblastoma Retinoblastoma Benign Or Malignant Retinoblastoma is the most common form of childhood cancer, but fortunately, it’s rare. Retinoblastoma is the most common primary intraocular malignancy of childhood and accounts for 10 to 15 percent of. It is the most common primary intraocular malignancy in children,. And when it does happen, the overall odds of a good outcome are high, especially with early. 90% of. Retinoblastoma Benign Or Malignant.
From www.femexer.org
Retinoblastoma FEMEXER Retinoblastoma Benign Or Malignant Retinoblastoma is the most common intraocular malignancy in children. And when it does happen, the overall odds of a good outcome are high, especially with early. Retinoblastoma is a cancer that starts in the retina, the very back part of the eye. Retinoblastoma is the most common primary intraocular malignancy of childhood and accounts for 10 to 15 percent of.. Retinoblastoma Benign Or Malignant.
From www.nhs.uk
Symptoms of retinoblastoma NHS Retinoblastoma Benign Or Malignant 90% of all retinoblastoma cases are diagnosed by 3. It is the most common primary intraocular malignancy in children,. Retinoblastoma is the most common form of childhood cancer, but fortunately, it’s rare. Retinoblastoma is the most common primary intraocular malignancy of childhood and accounts for 10 to 15 percent of. And when it does happen, the overall odds of a. Retinoblastoma Benign Or Malignant.
From weillcornellbrainandspine.org
Retinoblastoma Weill Cornell Brain and Spine Center Retinoblastoma Benign Or Malignant Retinoblastoma is an uncommon type of malignancy occurring in 1 per 18000. Retinoblastoma is a primitive neuroectodermal intraocular malignancy that affects young children. Retinoblastoma is a cancer that starts in the retina, the very back part of the eye. Retinoblastoma is the most common primary intraocular malignancy of childhood and accounts for 10 to 15 percent of. 90% of all. Retinoblastoma Benign Or Malignant.
From eyeillustrations.com
Retinoblastoma eye tumor white masses in the retina, eye illustration Retinoblastoma Benign Or Malignant Retinoblastoma is a malignant tumor of the developing retina that occurs in children, usually before age. It is the most common type of eye cancer in children. Retinoblastoma is the most common form of childhood cancer, but fortunately, it’s rare. Retinoblastoma is an uncommon type of malignancy occurring in 1 per 18000. Retinoblastoma is a cancer that starts in the. Retinoblastoma Benign Or Malignant.
From slidetodoc.com
RETINOBLASTOMA OR GLOMA OF RETINA Malignant proliferation of Retinoblastoma Benign Or Malignant It is the most common type of eye cancer in children. Retinoblastoma is the most common form of childhood cancer, but fortunately, it’s rare. And when it does happen, the overall odds of a good outcome are high, especially with early. Retinoblastoma is an uncommon type of malignancy occurring in 1 per 18000. Retinoblastoma is a primitive neuroectodermal intraocular malignancy. Retinoblastoma Benign Or Malignant.
From www.medindia.net
Retinoblastoma Causes, Symptoms, Diagnosis, Treatment & Prevention Retinoblastoma Benign Or Malignant Retinoblastoma is the most common intraocular malignancy in children. And when it does happen, the overall odds of a good outcome are high, especially with early. Retinoblastoma is a primitive neuroectodermal intraocular malignancy that affects young children. Retinoblastoma is an uncommon type of malignancy occurring in 1 per 18000. Retinoblastoma is a cancer that starts in the retina, the very. Retinoblastoma Benign Or Malignant.
From www.pinterest.com
Pin on cl_1Opthal Retinoblastoma Benign Or Malignant Retinoblastoma is a primitive neuroectodermal intraocular malignancy that affects young children. It is the most common primary intraocular malignancy in children,. Retinoblastoma is a cancer that starts in the retina, the very back part of the eye. Retinoblastoma is an uncommon type of malignancy occurring in 1 per 18000. And when it does happen, the overall odds of a good. Retinoblastoma Benign Or Malignant.
From www.slideserve.com
PPT RETINOBLASTOMA PowerPoint Presentation, free download ID753796 Retinoblastoma Benign Or Malignant Retinoblastoma is a cancer that starts in the retina, the very back part of the eye. Retinoblastoma is a malignant tumor of the developing retina that occurs in children, usually before age. It is the most common primary intraocular malignancy in children,. Retinoblastoma is the most common form of childhood cancer, but fortunately, it’s rare. Retinoblastoma is the most common. Retinoblastoma Benign Or Malignant.
From www.optos.com
California Retinoblastoma, Pediatric, RG Retinoblastoma Benign Or Malignant Retinoblastoma is the most common primary intraocular malignancy of childhood and accounts for 10 to 15 percent of. Retinoblastoma is the most common intraocular malignancy in children. 90% of all retinoblastoma cases are diagnosed by 3. It is the most common type of eye cancer in children. And when it does happen, the overall odds of a good outcome are. Retinoblastoma Benign Or Malignant.
From www.wikidoc.org
Retinoblastoma MRI wikidoc Retinoblastoma Benign Or Malignant And when it does happen, the overall odds of a good outcome are high, especially with early. Retinoblastoma is the most common primary intraocular malignancy of childhood and accounts for 10 to 15 percent of. 90% of all retinoblastoma cases are diagnosed by 3. Retinoblastoma is the most common form of childhood cancer, but fortunately, it’s rare. Retinoblastoma is an. Retinoblastoma Benign Or Malignant.
From www.researchgate.net
International Classification of retinoblastoma (Abramson et al., 2015 Retinoblastoma Benign Or Malignant Retinoblastoma is the most common intraocular malignancy in children. Retinoblastoma is the most common primary intraocular malignancy of childhood and accounts for 10 to 15 percent of. Retinoblastoma is a malignant tumor of the developing retina that occurs in children, usually before age. And when it does happen, the overall odds of a good outcome are high, especially with early.. Retinoblastoma Benign Or Malignant.
From www.wikidoc.org
Retinoblastoma wikidoc Retinoblastoma Benign Or Malignant It is the most common type of eye cancer in children. Retinoblastoma is a cancer that starts in the retina, the very back part of the eye. Retinoblastoma is an uncommon type of malignancy occurring in 1 per 18000. And when it does happen, the overall odds of a good outcome are high, especially with early. It is the most. Retinoblastoma Benign Or Malignant.
From gamma.app
Retinoblastoma Retinoblastoma Benign Or Malignant Retinoblastoma is the most common intraocular malignancy in children. 90% of all retinoblastoma cases are diagnosed by 3. Retinoblastoma is a cancer that starts in the retina, the very back part of the eye. Retinoblastoma is a primitive neuroectodermal intraocular malignancy that affects young children. Retinoblastoma is a malignant tumor of the developing retina that occurs in children, usually before. Retinoblastoma Benign Or Malignant.
From eyeillustrations.com
Retinoblastoma cancerous tumor on the retina, medical illustration Retinoblastoma Benign Or Malignant 90% of all retinoblastoma cases are diagnosed by 3. Retinoblastoma is an uncommon type of malignancy occurring in 1 per 18000. Retinoblastoma is a primitive neuroectodermal intraocular malignancy that affects young children. It is the most common primary intraocular malignancy in children,. And when it does happen, the overall odds of a good outcome are high, especially with early. Retinoblastoma. Retinoblastoma Benign Or Malignant.